PetRad LLC

Veterinary Imaging & Nuclear Medicine

Radiology • Ultrasound • CT • MRI • Radioiodine Therapy

at

metropolitan veterinary associates

appointments - 610 - 666 - 1050

fax - 610 - 666 - 1199

A bulgy pit bull…

This is an older pit bull terrier who is clinically normal. The owner appreciated a bulge in the dog's abdomen and brought her in for radiographs.

 

What's your radiographic diagnosis?

Radiologists Comment

The pertinent finding on this case is the presence of an abdominal mass which is located in the mid-dorsal abdomen to the left of midline, displacing the bowel ventrally and to the right side. Careful inspection shows no evidence of a normal left renal silhouette, so unilateral renomegaly has to be the top differential. The irregular shape makes obstruction / hydronephrosis less likely, so the most likely causes renomegaly would include neoplasia or a large renal cyst.

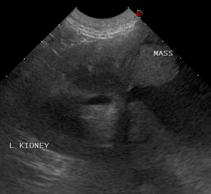
In this patient, the final diagnosis is… a large cystic renal mass! The ultrasound images shows the normal cranial pole of the left kidney with a very large cavitated fluid filled mass extending from the caudal pole.  Only a small portion of the mass is imaged, the overall size was >10 cm.

Final Diagnosis: Renal Adenocarcinoma

Annotated Lateral

Ultrasound